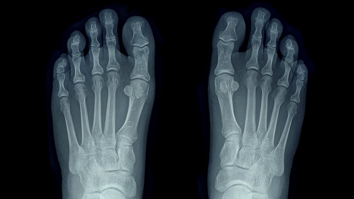
¿Qué es la radiología diagnóstica de pie y tobillo mediante fluoroscopia?
La radiología diagnóstica en directo de pie y tobillo, también conocida como fluoroscopia, es una técnica de imagen que utilizamos el equipo de podología de nuestra clínica. Utiliza radiación ionizante en tiempo real para obtener imágenes dinámicas de las estructuras óseas y articulares del pie y el tobillo. A diferencia de las radiografías convencionales, que capturan imágenes estáticas, la fluoroscopia permite visualizar en tiempo real el movimiento y la función de las articulaciones, lo que resulta útil para diagnosticar ciertas condiciones patologías y guiar procedimientos intervencionistas.
¿Cuáles son las aplicaciones de la fluoroscopia de pie y tobillo?
Las aplicaciones más utilizadas son las siguientes:
· Cirugía de mínima incisión de pie y tobillo: Son una serie de técnicas quirúrgicas avanzadas que nos permiten operar el pie mediante pequeñas incisiones inferiores a 3 mm con anestesia local y de forma ambulatoria, permitiendo al paciente volver caminando a su domicilio.
· Guiado en las intervenciones quirúrgicas: Facilita la realización de procedimientos como la reducción cerrada de fracturas o luxaciones, la aspiración de líquido sinovial, infiltraciones (plasma rico en plaquetas, corticosteroides, ácido hialurónico) en articulaciones o tejidos blandos, y la colocación de dispositivos quirúrgicos, como agujas o alambres.
· Evaluación de las fracturas y luxaciones: Permite una evaluación en tiempo real de fracturas óseas, incluidas las fracturas articulares y las fracturas por estrés, así como la detección de luxaciones y subluxaciones articulares.
· Evaluación de la función articular: Permite la visualización en tiempo real de la función y la estabilidad de las articulaciones durante movimientos específicos, lo que ayuda en la evaluación de lesiones ligamentosas, inestabilidades articulares y enfermedades degenerativas.
· Diagnóstico de las enfermedades degenerativas: Permite la detección de cambios degenerativos en las articulaciones, como la osteoartritis, la artritis reumatoide y la gota, mediante la evaluación de la alineación articular, el espacio articular y la formación de osteofitos.
· Evaluación preoperatoria: Ayuda en la planificación preoperatoria al proporcionar información detallada sobre la anatomía y la función del pie y el tobillo.
· Seguimiento postoperatorio: Permite la evaluación de la reparación quirúrgica y la función postoperatoria del pie y el tobillo, lo que ayuda en la evaluación del éxito del procedimiento quirúrgico y en la detección de posibles complicaciones.
¿Qué ventajas ofrece la radiología diagnóstica en directo de pie y tobillo?
La radiología diagnóstica de pie y tobillo es utilizada diariamente por nuestros podólogos especialistas ya nos ofrece múltiples ventajas, además, complementa otros métodos de diagnóstico por imágenes, como el diagnóstico ecográfico o resonancias magnéticas, proporcionando información adicional para un diagnóstico preciso y un plan de tratamiento adecuado:
· Visualización en tiempo real: Proporciona imágenes en tiempo real de las estructuras óseas y articulares del pie y el tobillo, lo que permite una evaluación dinámica del movimiento y la función de estas regiones anatómicas.
· Menor exposición a la radiación: Aunque implica el uso de radiación ionizante, la fluoroscopia moderna está diseñada para minimizar la exposición del paciente y del personal médico a la radiación, mediante técnicas como la reducción de la dosis de radiación y la optimización de la técnica de imagen.
· Complemento a otras modalidades de imagen: La fluoroscopia puede complementar otras modalidades de imagen, como la radiografía convencional, la ecografía, la tomografía computarizada (TC) y la resonancia magnética (RM), proporcionando información adicional sobre la anatomía y la función del pie y el tobillo.
¿Qué equipo radiológico utilizamos en nuestra clínica?
En nuestra clínica apostamos por la tecnología más avanza ofreciendo los tratamientos podológicos más avanzados existentes, para ello apostamos por la máxima tecnología del mercado y constante formación continua de nuestros podólogos. El sistema de Mini Arco en C Fluoroscan® InSight-II proporciona la versatilidad necesaria para la adquisición de imágenes. Ofrece unas imágenes nítidas y de alta calidad, lo que permite a nuestro podólogo cirujano tener la mayor seguridad en el quirófano. El nuevo procesador de imágenes y detector le proporcionan imágenes sin distorsión. Su pantalla táctil y software de manejo de imágenes le ayudan a obtener una imagen clara y precisa.
